二月的青海寒意未减,新桥口腔西宁院区却已悄然迎来热烈的种牙高峰季。尤其是今天(2月23日)数字化种植牙手术直播暨专家亲诊日的活动现场,百余缺牙市民早早齐聚,大家都希望在见证10分钟缺牙重生的同时,和……
二月的青海寒意未减,新桥口腔西宁院区却已悄然迎来热烈的种牙高峰季。尤其是今天(2月23日)数字化种植牙手术直播暨“专家亲诊日”的活动现场,百余缺牙市民早早齐聚,大家都希望在见证“10分钟缺牙重生”的同时,和来自成都的种植大咖面对面,获得最适合自己的种牙定制方案。

直播现场人气爆棚
知名厂商助阵 大咖医生联袂
决定种植牙成功与否的,除了医生技术,还有材料品质。新桥口腔严选国际大牌植体,并与其厂商开展全方位、深层次的双向合作,为顾客提供长期、可靠的医疗资源服务与保障。直播开始前,全球知名种植体厂商、韩国美格真品牌代表亲临现场,对不同种植体的制造工艺、材料性能等进行详细解读,帮助来宾们正确鉴别和选择适合自己的种植材料。

厂商代表现场分享
担纲手术主刀的,是不远千里“飞”来的种植大咖王旭东。王旭东医生现任成都衣冠庙院区种植专科主任,拥有二十余年口腔临床经验,已成功完成数万例种植修复案例,尤擅半全口即刻负重种植。

新桥口腔成都衣冠庙院区种植专科主任王旭东
为了让大家真正看懂种植牙手术,西宁院区还特邀种植医生刘晓娟与王旭东主任联袂,对手术过程进行同步讲解,并就现场缺牙市民最关心的问题,做全面细致的解读。

数字化种植手术实时直播观看
8分钟手术完成 真功夫赢全场喝彩
上午10:12分,手术正式开始。定量麻醉、逐级备洞、精准植入、严密缝合,王旭东主任稳中有序的操作在实时大屏上同步呈现,伴随着刘晓娟医生的专业讲解,观众们第一次“零距离”了解了种植牙的真面目。

刘晓娟医生现场讲解手术全程
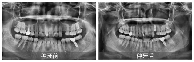
仅8分钟,手术圆满完成。王旭东主任无比精湛、流畅的“种牙真功夫”,赢得了大家一致好评。在热烈的掌声与叫好声中,王旭东主任与周女士重返直播现场。

周女士术前术后拍片对比
“王旭东主任在我们这很有名的,我早就预约他帮我做手术了。今天实际体验下来感觉非常好,种牙手法稳、准、快,过程中也没有任何不适,这里的技术与服务果然名不虚传!”重拾口福的周女士脸上洋溢着欢欣喜悦,不住地为新桥口腔点赞。

刘晓娟医生(左)、周女士(中)、王旭东主任(右)术后合影
专业热情的王旭东主任,在简单介绍了周女士种牙的诊疗思路和手术操作要点后,还为缺牙市民们提供了“专家亲诊”服务,现场一对一答疑并给出针对性的治疗意见。

王旭东主任现场解说答疑
好口福更幸福 全口种牙者分享体验
"不仅有好技术,还有好服务!"一位在新桥口腔西宁院区完成全口治疗的老顾客说:“我走访过大大小小好几家口腔机构,最终选择了新桥口腔。一是这里的医生技术过硬,实力有保障。还有就是他们的服务态度周到体贴,术前、术后无微不至的关怀让我倍感温暖,种好牙后生活品质大大提升,现在想吃什么就吃什么!”

刘阿姨分享全口种牙感受
新桥口腔品质传承二十余年,种植专科以国内种植权威、原华西牙种植医院刘果生教授、华西主诊专家李华领衔医生团队,拥有四十余名经验和学术背景深厚的精英医生。通过疑难会诊、专家亲诊、团队协作等方式,充分发挥强大医资优势,不仅将先进的种植技术和理念带到西部各地,也让广大顾客在家门口就享受到品质如一的种植牙诊疗服务。未来,新桥口腔将继续充实壮大医生团队、夯实种植技术,帮助更多缺牙市民轻松享口福!